[PR]
※ 保険適用外の自由診療
人気マウスピース矯正おすすめ3選
![]() スマイルモア矯正 |
![]() Zenyum(ゼニュム) |
![]() キレイライン矯正 |
|---|---|---|
| 費用目安(税込) | ||
![]() 187,000円~ ※1 |
![]() 297,000円~ |
![]() 198,000円~ ※2 |
| 月額費用(税込) | ||
![]() 月々3,000円~ ※1※3 |
![]() 月々5,400円~ |
![]() 月々約3,100円~ ※4 |
| 最短治療期間(目安) | ||
![]() 3ヶ月※5 |
![]() 3ヶ月※5 |
![]() 2.5ヶ月※5 |
| 検診料(税込) | ||
![]() 無料 |
![]() 無料 |
![]() 3,300円(税込)〜 |
| 店舗数・提携院数 | ||
![]() 165院※6 北海道・東北(9医院) 関東(44医院) 中部(24医院) 近畿(31医院) 中国・四国(17医院) 九州(31医院) |
![]() 25院 北海道・東北(4医院) 関東(14医院) 中部(2医院) 近畿(3医院) 九州(2医院) |
![]() 125院※7 |
| おすすめポイント | ||
| 費用・実績・安心◎ | 無料オンライン診断 | 提携医院多数 |
| 公式サイト | ||
| スマイルモア矯正 公式サイトへ |
Zenyum(ゼニュム) 公式サイトへ |
キレイライン矯正 公式サイトへ |
※1 総額18.7〜42.9万円。症状やご希望の治療内容によっては、この範囲を超える費用が発生する場合がございます。
※2 別途、初回検診料、再診料、リテーナー費用がかかります。
※3 デンタルローンを利用して17万円(税込18.7万円)を頭金なし・78回払いで支払う場合の分割支払金額
※4 キレイラインの場合、月額プランがあるわけではないため、分割料金の例となります。デンタルローンを利用して10回コース(税込330,000円)を120回払いで支払う場合の分割支払金額です。一部クリニックはローン非対応。信販会社や手数料はクリニックにより異なります。
※5 治療期間には個人差があります。保定期間は含みません。
※6 2025年12月4日時点
※7 2024年9月時点
マウスピース矯正のメリット
マウスピース矯正はメリットが大きく人気!
では、一番肝心な「効果」はどうでしょうか?
マウスピースでどれぐらい変わる?



※ 効果や感じ方には個人差があります。
※ マウスピース矯正の主なリスク: 虫歯・歯周病・ブラックトライアングル・歯根吸収・歯肉退縮・1日20時間以上のマウスピース装着が必須・マウスピースにより痛みを感じる可能性・治療中に一時的にかみ合わせに不具合をきたす可能性・リテーナーを最低1年間は1日20時間以上装着、その後徐々に着用時間を減らし、2年目以降は夜間のみの着用推奨。
ワイヤー矯正に比べて、圧倒的に気軽に矯正ができて、しっかり効果も出るので、矯正をする方が爆発的に増えているみたいです!
マウスピース矯正歯科を選ぶポイント
治療期間と価格帯
マウスピース矯正の治療期間と費用は、「歯並びの状態」と「目標とするゴール」によって異なります。
| 治療期間 | 治療費 | |
|---|---|---|
| 部分矯正 | 3ヶ月〜1年 | 18万〜75万円 |
| 全顎矯正 | 1年半〜3年半 | 80万〜150万円 |
まずは、カウンセリングを受け、費用や期間がどのくらいになるのか確認しましょう!
通いやすさ
ご自宅から通える範囲に、歯科医院があるかどうかや、「土日通院の可否」「必要な通院頻度」なども、事前に確認しておきましょう!
実績と症例数
みなさん歯科医院の選び方は迷われますが、最終的には実績や症例数を参考にされる方が多いです!
当サイトでも、単純に「安い」「治療期間が短い」などのポイントだけでなく、信頼できる実績や症例数の多いクリニックを厳選して紹介してします◎
おすすめのマウスピース矯正を徹底比較
スマイルモア矯正
| 月額費用 | 最短治療期間 | 検診料 |
|---|---|---|
| 月々3,000円~ ※2 | 3ヶ月 ※3 | 無料 |
- 最短3ヶ月※3で理想の歯を目指せる!
- 月額3,000円〜※2とコスパ最強◎
- 契約時、矯正と同時にホワイトニングもできる!※4
- 世界シェアNo.1&No.2のメーカーと国産メーカーのみを使用!
※1 2020年11月~2025年9月提携院の総患者数(スマイルモア矯正以外も含む)
※2 総額18.7〜42.9万円。症状やご希望の治療内容によっては、この範囲を超える費用が発生する場合がございます。デンタルローンを利用して17万円(税込18.7万円)を頭金なし・78回払いで支払う場合の分割支払金額
※3 治療効果や治療期間には個人差があります。
※4 矯正治療契約時のみ。ホワイトニングの費用は総額費用に含まれます。費用に含まれるホワイトニング本数は、医院や契約プランによって異なります。患者さんの年齢や口腔内の状況によってはリスクの観点からホワイトニング剤をご提供できない場合がございます。
\ コスパ×実績で選ぶならここ! /
コスパで選ぶなら一択!
スマイルモア矯正は最短3ヶ月 ※1、月額3,000円~※2で治療が可能という、業界でも圧倒的にコスパがいい歯科医院です。
※1 治療効果や治療期間には個人差があります。※2 総額18.7〜42.9万円。症状やご希望の治療内容によっては、この範囲を超える費用が発生する場合がございます。デンタルローンを利用して17万円(税込18.7万円)を頭金なし・78回払いで支払う場合の分割支払金額
圧倒的な症例実績
スマイルモアは170,000人※以上に選ばれており、全国トップクラスの実績を持っています!
※ 2020年11月~2025年9月提携院の総患者数(スマイルモア矯正以外も含む)スマイルモアの症例



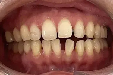
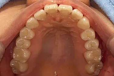
| 治療費用 | 396,000円(税込) |
| 治療期間 | 4ヶ月 |
| 治療内容 | マウスピースを用いた歯列矯正 |
| 追加処置 | IPR |



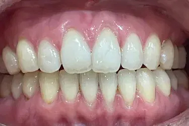
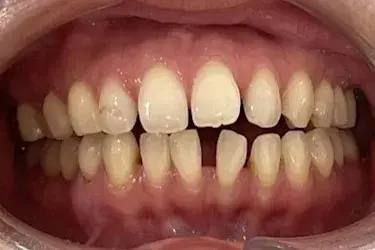
| 治療費用 | 396,000円(税込) |
| 治療期間 | 7ヶ月 |
| 治療内容 | マウスピースを用いた歯列矯正 |
| 追加処置 | IPR |



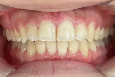
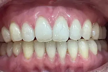
| 治療費用 | 396,000円(税込) |
| 治療期間 | 8ヶ月 |
| 治療内容 | マウスピースを用いた歯列矯正 |
| 追加処置 | IPR |
※ 効果や感じ方には個人差があります。
※ マウスピース矯正の主なリスク: 虫歯・歯周病・ブラックトライアングル・歯根吸収・歯肉退縮・1日20時間以上のマウスピース装着が必須・マウスピースにより痛みを感じる可能性・治療中に一時的にかみ合わせに不具合をきたす可能性・リテーナーを最低1年間は1日20時間以上装着、その後徐々に着用時間を減らし、2年目以降は夜間のみの着用推奨。
どんな歯並びでも対応!
様々な歯の状態に対応してきた実績があるから、一人ひとりに合わせたピッタリの治療をしてくれます!
対面で医師に直接相談できる!
各院で歯科医師や歯科衛生士に、どんなお悩みでも直接相談することができます◎
不安なことも、事前に確認できるから、矯正が初めての方でも安心ですね♪
通院がしやすい!
提携医院が多く、通院頻度も3ヶ月に1度で良いため、忙しい方でも治療しやすいです◎
アクセスの良いところが多く、年中無休で20時までやっている医院も!
\ 最寄りの歯科医院をチェック! /
安心と安全のマウスピース
矯正実績のある高品質なマウスピースのみを使用しているので、短期間で安全に効果的な矯正治療ができるのが魅力です♪
万が一、シミュレーション通りに歯が動かなかった場合も、マウスピースを作り直してもらえるので安心です◎
初回カウンセリング無料!
今なら初回カウンセリングが完全無料のキャンペーン中!
お近くの歯科医院で相談してみてください!
※ 再診料や追加処置の費用が必要になる場合がございます。詳しくはクリニックにお問い合わせください。※ 一部提携院では精密検査費用が発生する場合があります。
\ コスパ×実績で選ぶならここ! /
おすすめのマウスピース矯正を徹底比較
Zenyum(ゼニュム)
| 月額費用 | 最短治療期間 | 検診料 |
|---|---|---|
| 月々5,400円~ | 3ヶ月 | 無料 |
- 無料のオンライン診断で気軽に相談できる◎
- 歯の写真をアップロードするだけでOK!
- 来院前にプランや料金が明確に確認できる
- Googleのクチコミ評価は高評価の4.8
おすすめのマウスピース矯正を徹底比較
キレイライン矯正
※保険適用外の自由診療となります。※1 2017年6⽉〜2022年11⽉の契約者様の合計数 ※2 デンタルローンを利用して7回コース(税込319,000円)を頭金なし・96回払いで支払う場合の手数料抜き・税別の分割支払金額です。一部クリニックはローン非対応。信販会社や手数料はクリニックにより異なります。
| 月額費用 | 最短治療期間 | 検診料 |
|---|---|---|
| 月々約3,100円~ ※1 | 2.5ヶ月 ※2 | 3,300円(税込)〜 |
- 3Dシミュレーションで治療後イメージがわかる
- 歯並びの矯正と同時にホワイトニングも可能♪ ※3
※1 キレイラインの場合、月額プランがあるわけではないため、分割料金の例となります。デンタルローンを利用して10回コース(税込330,000円)を頭金なし・78回払いで支払う場合の分割支払金額です。一部クリニックはローン非対応。信販会社や手数料はクリニックにより異なります。
※2 治療期間には個人差があります。保定期間は含みません。
※3 アタッチメント(追加治療)との併用はできません。ホワイトニング剤の使用タイミングは歯科医師までご相談ください。
人気マウスピース矯正おすすめ3選
![]() スマイルモア矯正 |
![]() Zenyum(ゼニュム) |
![]() キレイライン矯正 |
|---|---|---|
| 費用目安(税込) | ||
![]() 187,000円~ ※1 |
![]() 297,000円~ |
![]() 198,000円~ ※2 |
| 月額費用(税込) | ||
![]() 月々3,000円~ ※1※3 |
![]() 月々5,400円~ |
![]() 月々約3,100円~ ※4 |
| 最短治療期間(目安) | ||
![]() 3ヶ月※5 |
![]() 3ヶ月※5 |
![]() 2.5ヶ月※5 |
| 検診料(税込) | ||
![]() 無料 |
![]() 無料 |
![]() 3,300円(税込)〜 |
| 店舗数・提携院数 | ||
![]() 165院※6 北海道・東北(9医院) 関東(44医院) 中部(24医院) 近畿(31医院) 中国・四国(17医院) 九州(31医院) |
![]() 25院 北海道・東北(4医院) 関東(14医院) 中部(2医院) 近畿(3医院) 九州(2医院) |
![]() 125院※7 |
| おすすめポイント | ||
| 費用・実績・安心◎ | 無料オンライン診断 | 提携医院多数 |
| 公式サイト | ||
| スマイルモア矯正 公式サイトへ |
Zenyum(ゼニュム) 公式サイトへ |
キレイライン矯正 公式サイトへ |
※1 総額18.7〜42.9万円。症状やご希望の治療内容によっては、この範囲を超える費用が発生する場合がございます。
※2 別途、初回検診料、再診料、リテーナー費用がかかります。
※3 デンタルローンを利用して17万円(税込18.7万円)を頭金なし・78回払いで支払う場合の分割支払金額
※4 キレイラインの場合、月額プランがあるわけではないため、分割料金の例となります。デンタルローンを利用して10回コース(税込330,000円)を120回払いで支払う場合の分割支払金額です。一部クリニックはローン非対応。信販会社や手数料はクリニックにより異なります。
※5 治療期間には個人差があります。保定期間は含みません。
※6 2025年12月4日時点
※7 2024年9月時点







